Home » Without Label » Angioimmunoblastic T-Cell Lymphoma / Amazon Com Reversing Angioimmunoblastic T Cell Lymphoma As God Intended The Raw Vegan Plant Based Detoxification Regeneration Workbook For Healing Patients Volume 1 9781395183608 Central Health Books : This lymphoma generally develops in the small intestine or colon.
Angioimmunoblastic T-Cell Lymphoma / Amazon Com Reversing Angioimmunoblastic T Cell Lymphoma As God Intended The Raw Vegan Plant Based Detoxification Regeneration Workbook For Healing Patients Volume 1 9781395183608 Central Health Books : This lymphoma generally develops in the small intestine or colon.
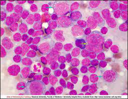
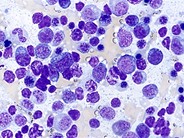
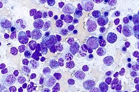
Angioimmunoblastic T-Cell Lymphoma / Amazon Com Reversing Angioimmunoblastic T Cell Lymphoma As God Intended The Raw Vegan Plant Based Detoxification Regeneration Workbook For Healing Patients Volume 1 9781395183608 Central Health Books : This lymphoma generally develops in the small intestine or colon.. Clinical and laboratory features at diagnosis in 77 patients. It is a systemic disease that presents with generalized lymphadenopathy, hepatosplenomegaly, constitutional symptoms, skin rash, anemia. It is one of the. Are you sure your patient has angioimmunoblastic t cell lymphoma? Angioimmunoblastic t cell lymphoma (aitl) is a peripheral t cell lymphoma characterized by systemic disease, a polymorphous infiltrate involving lymph nodes, and a prominent proliferation of high endothelial venules and follicular dendritic cells (who 2008).
Angioimmunoblastic t cell lymphoma (aitl) presents in older patients and the median age at diagnosis is approximately 60. Anubha bajaj* ab diagnostics, new delhi, india. Dr flora poon, victorian dermatology registrar, st. These include skin rashes, joint pain, and some. Angioimmunoblastic t cell lymphoma (aitl) is a peripheral t cell lymphoma characterized by systemic disease, a polymorphous infiltrate involving lymph nodes, and a prominent proliferation of high endothelial venules and follicular dendritic cells (who 2008).
Lymphoma Hodgkin S Disease Non Hodgkin S Disease Ppt Download from slideplayer.com Intensive chemo using several drugs is. It is one of the. This lymphoma generally develops in the small intestine or colon. Extranodal sites, including cutaneous lesions, are well recognized. 1,2 cutaneous lesions may manifest as a pruritic. Angioimmunoblastic t cell lymphoma (aitl) is a peripheral t cell lymphoma characterized by systemic disease, a polymorphous infiltrate involving lymph nodes, and a prominent proliferation of high endothelial venules and follicular dendritic cells (who 2008). Angiofollicular lymphoid hyperplasia (castleman disease), plasma cell type. Are you sure your patient has angioimmunoblastic t cell lymphoma?
Dr christopher y chew, medical resident, monash health, melbourne, vic, australia;
Blood, the journal of the american society of hematology. Angiofollicular lymphoid hyperplasia (castleman disease), plasma cell type. Dr christopher y chew, medical resident, monash health, melbourne, vic, australia; Are you sure your patient has angioimmunoblastic t cell lymphoma? This lymphoma generally develops in the small intestine or colon. 1,2 cutaneous lesions may manifest as a pruritic. Clinical and laboratory features at diagnosis in 77 patients. Dr flora poon, victorian dermatology registrar, st. Intensive chemo using several drugs is. What should you expect to find? It is one of the. Extranodal sites, including cutaneous lesions, are well recognized. Angioimmunoblastic t cell lymphoma (aitl) presents in older patients and the median age at diagnosis is approximately 60.
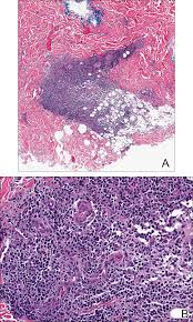
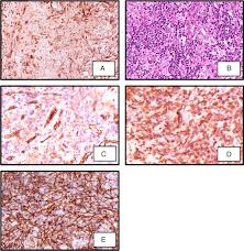
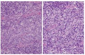
It is one of the. It is a systemic disease that presents with generalized lymphadenopathy, hepatosplenomegaly, constitutional symptoms, skin rash, anemia. Dr christopher y chew, medical resident, monash health, melbourne, vic, australia; Angioimmunoblastic t‐cell lymphoma (aitl) is a neoplastic proliferation of t follicular helper cells with clinical and histological presentations suggesting a role of antigenic drive in its development. Angiofollicular lymphoid hyperplasia (castleman disease), plasma cell type.
Https Www Longdom Org Open Access The Tcell Predominance Angioimmunoblastic Tcell Lymphoma Pdf from It is a systemic disease that presents with generalized lymphadenopathy, hepatosplenomegaly, constitutional symptoms, skin rash, anemia. It is characterized by a unique clinical presentation and distinct pathologic and molecular features. This lymphoma generally develops in the small intestine or colon. Clinical and laboratory features at diagnosis in 77 patients. Angiofollicular lymphoid hyperplasia (castleman disease), plasma cell type. Anubha bajaj* ab diagnostics, new delhi, india. Dr rubeta n matin, consultant dermatologist. Angioimmunoblastic t‐cell lymphoma (aitl) is a neoplastic proliferation of t follicular helper cells with clinical and histological presentations suggesting a role of antigenic drive in its development.
It is one of the.
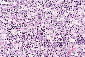
Anubha bajaj* ab diagnostics, new delhi, india. These include skin rashes, joint pain, and some. It is one of the. It is a systemic disease that presents with generalized lymphadenopathy, hepatosplenomegaly, constitutional symptoms, skin rash, anemia. Dr christopher y chew, medical resident, monash health, melbourne, vic, australia; Angioimmunoblastic t‐cell lymphoma (aitl) is a neoplastic proliferation of t follicular helper cells with clinical and histological presentations suggesting a role of antigenic drive in its development. 1,2 cutaneous lesions may manifest as a pruritic. What should you expect to find? Extranodal sites, including cutaneous lesions, are well recognized. Dr rubeta n matin, consultant dermatologist. Vincent's hospital, melbourne, vic, australia; It is characterized by a unique clinical presentation and distinct pathologic and molecular features. Aitl is generally a rapidly progressive disease.
Intensive chemo using several drugs is. What should you expect to find? This lymphoma generally develops in the small intestine or colon. It is a systemic disease that presents with generalized lymphadenopathy, hepatosplenomegaly, constitutional symptoms, skin rash, anemia. Dr christopher y chew, medical resident, monash health, melbourne, vic, australia;
Angioimmunoblastic T Cell Lymphoma With Hodgkin Reed Sternberg Like Download Scientific Diagram from www.researchgate.net Angioimmunoblastic t‐cell lymphoma (aitl) is a neoplastic proliferation of t follicular helper cells with clinical and histological presentations suggesting a role of antigenic drive in its development. Blood, the journal of the american society of hematology. Dr christopher y chew, medical resident, monash health, melbourne, vic, australia; Are you sure your patient has angioimmunoblastic t cell lymphoma? Extranodal sites, including cutaneous lesions, are well recognized. Clinical and laboratory features at diagnosis in 77 patients. Aitl is generally a rapidly progressive disease. It is one of the.
Dr rubeta n matin, consultant dermatologist.
Dr christopher y chew, medical resident, monash health, melbourne, vic, australia; Are you sure your patient has angioimmunoblastic t cell lymphoma? Dr flora poon, victorian dermatology registrar, st. 1,2 cutaneous lesions may manifest as a pruritic. Vincent's hospital, melbourne, vic, australia; These include skin rashes, joint pain, and some. Clinical and laboratory features at diagnosis in 77 patients. Angioimmunoblastic t cell lymphoma (aitl) is a peripheral t cell lymphoma characterized by systemic disease, a polymorphous infiltrate involving lymph nodes, and a prominent proliferation of high endothelial venules and follicular dendritic cells (who 2008). Blood, the journal of the american society of hematology. What should you expect to find? Anubha bajaj* ab diagnostics, new delhi, india. Aitl is generally a rapidly progressive disease. It is a systemic disease that presents with generalized lymphadenopathy, hepatosplenomegaly, constitutional symptoms, skin rash, anemia.